Napísali o nás: Rozhovor s MUDr. Vladimírom Paulechom, primárom zubnej kliniky Primadent v Čadci
Napísali o nás: Rozhovor s MUDr. Vladimírom Paulechom, primárom zubnej kliniky Primadent v Čadci

V aktuálnom vydaní týždenníka My Kysucké noviny si môžete prečítať rozhovor s primárom našej kliniky, MUDr. Vladimírom Paulechom. Prajeme Vám príjemné čítanie.

Fotoseriál odstránenia zubného kameňa na dentálnej hygiene
Fotoseriál odstránenia zubného kameňa na dentálnej hygiene

Vieme pomôcť aj pacientom so zanedbaným chrupom. Pozrite si premenu pred a po!

Európsky deň ústneho zdravia: Výzva "Povedz ááá"
Európsky deň ústneho zdravia: Výzva "Povedz ááá"

Ako sa vyhnúť zubnému kazu bez výrazného finančného zaťaženia? Prevencia je základ. Rezervujte si ošetrenie ešte dnes.

Vychutnajte si u nás šálku prémiovej kávy Nespresso
Vychutnajte si u nás šálku prémiovej kávy Nespresso

Našim pacientom a pacientkám ponúkame tú najvyššiu kvalitu. Preto sme pre Vás pripravili aj výber prémiových káv, ktoré určite spríjemnia Vašu návštevu u nás.

Pravidlá ošetrovania pacientov
Pravidlá ošetrovania pacientov

Pri dodržaní týchto zásad Vám vieme poskytnúť kvalitné stomatologické služby. Aké sú pravidlá ošetrovania v našej zubnej klinike?

Ako u nás prebieha vstupné vyšetrenie?
Ako u nás prebieha vstupné vyšetrenie?

Pacientky a pacienti sa nás často pýtajú na základné informácie o vstupnom vyšetrení. Čo Vás čaká po príchode k nám?

Primadent spoločná cyklotúra a oslava
Primadent spoločná cyklotúra a oslava

Ďalšia príjemná akcia nášho kolektívu v spoločnosti priateľov a priateliek Primadentu. Tešíme sa na ďalší ročník.

Vplyv fajčenia na zuby - Čo nepodceniť ako fajčiar?
Vplyv fajčenia na zuby - Čo nepodceniť ako fajčiar?

Ako tento zlozvyk ovplyvňuje stav zubov? Vedeli ste, že fajčenie nespôsobuje len zmenu zafarbenia zubov?

Bielenie zubov - Ako sa vyhnúť poškodeniu zubov?
Bielenie zubov - Ako sa vyhnúť poškodeniu zubov?

Zvažujete ambulantné alebo domáce bielenie svojich zubov? Nepodceňujte prípravu a zhodnotenie stavu chrupu. Neodborným bielením môžete zuby poškodiť.

Darčekové poukazy v predaji - Darujte krajší a zdravší úsmev :)
Darčekové poukazy v predaji - Darujte krajší a zdravší úsmev :)

Chcete blízkemu človeku darovať originálny darček, vďaka ktorému sa bude viac usmievať? Darujte krajší a zdravší úsmev v podobe darčekového poukazu ľubovoľvej hodnoty.

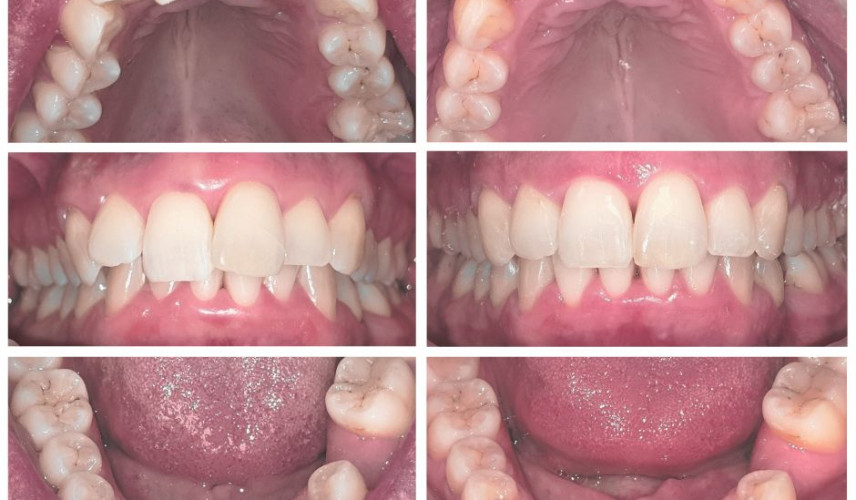
Priehľadný vyrovnávač - Ďalšia úspešná premena
Priehľadný vyrovnávač - Ďalšia úspešná premena

Aké zmeny možno dosiahnuť s priehľadnými vyrovnávačmi? Pozrite si s nami ďalšiu úspešnú premenu. Ako sa Vám výsledok terapie páči?

Predstavujeme Vám zubnú lekárku, MDDr. Kristínu Kvašňovskú
Predstavujeme Vám zubnú lekárku, MDDr. Kristínu Kvašňovskú

Od roku 2023 máme v našom tíme novú posilu. S potešením Vám predstavujeme zubnú lekárku, MDDr. Kristínu Kvašňovskú!

Prieskum spokojnosti pacientov

Vážení pacienti,
záleží nám na vašej spokojnosti. Snažíme sa priebežne skvalitňovať služby komplexnej stomatologickej starostlivosti, ktoré Vám poskytujeme. Z tohto dôvodu Vás prosíme o vyplnenie krátkeho dotazníka zameraného na zistenie Vašej spokojnosti. Zdôrazňujeme, že odpovede budú spracované anonymne a poslúžia výlučne pre potreby realizovaného prieskumu. Sľubujeme, že Vašim námetom budeme pripisovať vysoký význam a zistené nedostatky sa budeme snažiť odstrániť.
Ďakujeme.

Elektronický dotazník
Naša filozofia a kľúčové hodnoty:
  • prácu vykonávame s ohľadom na požiadavky a očakávania našich pacientov, aby od nás odchádzali spokojní,
  • snažíme sa aplikovať do praxe súčasné svetové trendy v stomatológií,
  • našich zamestnancov sústavne vzdelávame, aby vedeli správne diagnostikovať a liečiť stomatologické problémy pacientov,
  • snažíme sa vykonávať svoju prácu citlivo, trpezlivo, precízne a bezbolestne, aby pacienti postupne prekonali strach zo zubára,
  • naším hlavným zámerom je, aby nami vykonaná práca mala dlhodobú trvácnosť, vyzerala esteticky a najmä bola funkčná,
  • usilujeme sa o to, aby pacienti, ktorí nás pravidelne navštevujú, vedeli, aký význam má prevencia, a správna ústna hygiena,
  • najlepšou reklamou je pre nás pacient, ktorý je s prácou spokojný a je ochotný nás odporučiť svojim priateľom a známym.
Ordinačné hodiny
Po 8:00 - 18:00
Ut 8:00 - 15:00
St 8:00 - 18:00
Št 8:00 - 15:00
Pi 8:00 - 13:00
DummyText
Možnosť dohodnúť sa aj na individuálnom termíne ošetrenia.
Kontakty
041 / 433 34 66
info@primadent.sk
Moyzesova 1420, Čadca
Kde nás nájdete
© Copyright Primadent s.r.o.

Primadent s.r.o.